-

-
Новые складчины:
22.05.2026: Комбинезон (Татьяна Макаренко)
22.05.2026: [Школа Терентьевых] Профессия: Технический специалист. Тариф Профессионал (Станислав Терентьев)
22.05.2026: [TutorPlace] Народы мира 2026 (Адам Лазебник)
22.05.2026: [Ladies School] Дистанция. Что такое и как ей правильно пользоваться (Inna de Almeida)
22.05.2026: [TutorPlace] Мифы Древнего Египта 2026 (Анна Шахматова)
-
Сбор взносов
21.05.2026: [Доктор Магеря] Эндометриоз 360 (Илья Магеря)
20.05.2026: [Skillbox] Профессия Инженер по тестированию + ИИ. Тариф Оптимальный (Анна Торшина)
20.05.2026: Протокол-рекомендация -5 кг за 5 дней (Алёна Ковальчук)
19.05.2026: [Holistica] Здоровая щитовидка (Ирина Шиманская)
19.05.2026: Любовь и семья в карте Бацзы (Юдола Белимирова)
Внимание!
Наш телеграм-канал попал под массовую блокировку и, пока мы подготовили для вас резервный!
Подписывайтесь по этой ССЫЛКЕ
Мы обновили Telegram-бот!
Ссылку на новый бот и все детали ищите ТУТ и скорее подписывайтесь, чтобы не пропускать важные уведомления и новости форума
Было ли у Вас такое, что Вы не могли найти курс? Если да, то напишите нам в Службу поддержки какой курс вам нужен и мы постараемся его найти.
Пополняйте баланс и получайте при оплате складчин кэшбек в размере 10%
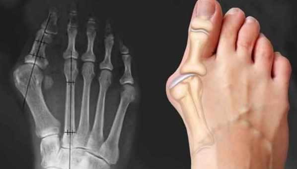
Массаж при вальгусной деформации стопы (Александр Иванов)
Тема в разделе "Массаж"
- Цена:
- 1200 руб
- Взнос:
- 119 руб
- Организатор:
- alex2506
Список участников складчины:
- 1. alex2506 2. Tati_ana222 3. hatulechka 4. Ferma 5. KatЯKim 6. lollipop 7. IrinaWebia 8. Баленина 9. Aleksa_80 10. irinaGGG 11. Hakima

